长“毛”的豆腐
能成就一道道美食
毛豆腐、腐乳等食物的制作
离不开毛霉菌
但这种真菌
若是长到了人的身上
后果将不堪设想

图源:AI生成
毛霉菌“钻”入鼻腔 疯狂啃噬眼球、脑子……
前不久,37岁的糖尿病患者于先生鼻腔剧痛到几乎晕厥,左眼肿得像核桃,身体一侧完全瘫痪……经查,他感染了毛霉菌。
河南省人民医院神经内科副主任医师张弥兰表示,“于先生所患的病叫‘鼻-眶-脑型毛霉菌病’,毛霉菌破坏了他的鼻窦骨质,侵入到眶尖,把左眼球全部侵蚀,还入侵了头部导致颅内额叶脓肿,引发右侧颈内动脉闭塞,再晚来一步,真是回天乏术了。”

图源:河南省人民医院
毛霉菌病过去在临床上鲜有报道,但近年来,随着糖尿病等慢性病发病率上升,病例报道逐渐增多,需提高警惕。
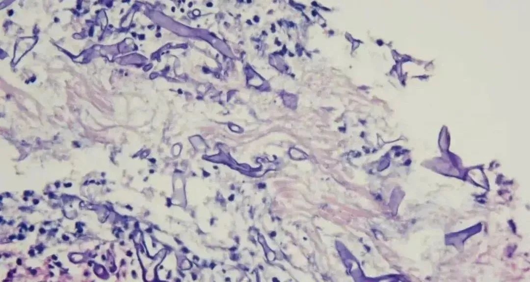
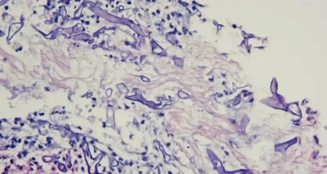
福州男子肺部“发霉长毛” 根本原因是血糖长期失控
福建福州的强叔(化名)因反复咳嗽、肺部多发结节就医,曾被怀疑过恶性肿瘤或细菌感染性祸首肺炎,没想到近期终于查出罪魁——毛霉菌。
福州市第一总医院呼吸与危重症医学科主任徐礼裕表示,强叔所患的肺毛霉菌病致死率很高。而让强叔不堪一击的根源,正是他长期失控的血糖。

图源:福州晚报,患者病理切片
鼻-眶-脑型毛霉菌病 前期症状似感冒
了解毛霉菌病之前,我们先认识一下毛霉菌。
毛霉菌是一种真菌,在自然界中广泛存在,如土壤、空气、粪便以及霉变的食品和材料中。
这种细菌会通过吸入、食入或外伤等途径侵入人体,并可由此血行播散至全身。
两种毛霉菌病较为常见、致死率高
按照感染部位,毛霉菌病可分为鼻-眶-脑型、肺型、皮肤型、肾型、肠胃型等。其中,鼻-眶-脑型和肺型毛霉菌病较为常见,且致死率高。
可经血源或淋巴源通过鼻孔、鼻窦等处累及脑部引起播散。临床表现为面部疼痛、头痛、嗜睡,甚至可致失明;若侵犯大血管,易引起梗死和坏死。患者常由昏睡发展为昏迷,如得不到及时治疗可在7~10天内死亡。
河南疾控提示,“鼻-眶-脑型毛霉菌病”一旦失控,80%的患者会失去生命。
此外还需警惕的是,该病早期症状似感冒。
前文中的于先生起初只是鼻子深处钻心痛、低热,以为是感冒上火了。直到一周后,他的眼眶红肿、眼球剧痛突出,视力急剧下降直至失明,而此时毛霉菌已在他体内“安营扎寨”。
可表现为非特异性肺炎,出现胸痛、呼吸困难、咯血等症状,胸部X线及常规细菌学检查无法诊断。
不过,大多数健康人不用担心感染毛霉菌病。
医生介绍,正常人有着较为完善的免疫机制,能有效抵御这种真菌的感染。
只有那些特发诱因下的患者,或是患有严重基础疾病,如控制不良的糖尿病、接受免疫抑制剂治疗的患者、恶性肿瘤、器官移植等免疫功能低下人群,才可能面临感染的风险。
首先控制原发疾病,特别是糖尿病、白血病、淋巴瘤等,严格掌握免疫抑制剂、细胞毒药物、抗癌剂的应用。 提高家庭卫生条件,注意室内通风换气、定期清洁床单被褥。
确保入口食物的洁净,严防真菌污染。 适当增强体育锻炼,提高抵抗力。
温馨提示
糖尿病患者
日常应积极控制血糖
并保持居住环境
清洁、干燥、卫生
减少霉菌感染风险
评论